Cosmetic Dentistry Services
Enhance your smile with our range of cosmetic dental treatments, including teeth whitening, veneers, and smile makeovers.
Zirconia Implants
We can help restore your smile’s beauty with the help of Zirconia!
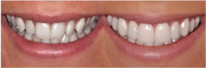
Porcelain Veneers
Porcelain veneers are thin shells that are affixed directly to teeth, using a precise bonding process.No Prep Veneers / Lumineers
These are ultra thin porcelain facings that involve minimal or no preparation of the tooth.GLO Teeth Whitening
Whitening is a simple, non-invasive procedure that lightens discoloration and removes stains from the enamel and dentin of the teeth.Invisalign®/Clear Braces
Clear Braces are an easy to use, esthetic alternative to traditional wire braces.Cosmetic Bonding
Cosmetic Bonding is an aesthetic procedure performed to restore, repair and enhance the look of your teeth.Crowns
If you’ve ever cracked a tooth that had a large silver amalgam filling or broken a tooth due to decay, you may need a crown, to restore the function and look of your tooth.Gum Recontouring
Do your teeth appear short and square and you wish to have long beautiful teeth?Full Mouth Reconstruction
For those patients whose teeth have been worn down by clenching and grinding, medications, acids (such as in cases of bulimia), severe decay, congenital disorders or traumatic injury there is hope!Your Ideal Smile Doesn’t Have to Wait
Flexibile hours and same day appointments available to help you get the care you need, when you need it.




